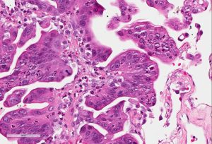
The two slides submitted for your preview are that of a Lung Adenocarcinoma.
The top slide to your right is scanned at Ultra Low (FIT) and simply provides a comprehensive view of the scanned slide. The actual size of the digital slide is approximately 820MB.
Slide Magnification is possible to 40X. At this level you can clearly identify the tumor as Adenocarcinoma. The approximate digital size at this magnification is 1.3 GB.

